脳ドック
脳ドックについて
脳ドックは主に未破裂脳動脈瘤(破裂するとクモ膜下出血をおこす病気)、脳梗塞、脳腫瘍、脳の主要血管の狭窄などの早期発見を目的に行っています。高血圧、高脂血症、糖尿病、高尿酸血症、喫煙、大量飲酒、肥満、運動不足、不規則な生活、ストレスなど脳血管障害を起こしやすい危険因子をお持ちの方や、脳卒中の家族歴のある方にもお勧めします。
日ごろの生活の中で不安を感じている方、そろそろ年齢的に検査を受けた方がいいとお考えの方は、一度受診なさってはいかがでしょうか。
スタンダード脳ドック
脳疾患を早期に発見する検査
短期間で実施できる脳疾患の有無を調べる検査として適しています。
- 基本料金
- 22,000円(税込)
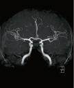
| 頭部MRI(磁気共鳴画像) | 頭頸部MRA(磁気共鳴血管画像) |
|---|---|
強力な磁場の働きを利用して、人体の断面を映し出す検査です。MRIで症状のない脳梗塞や脳腫瘍、脳出血のあとなどが発見できます。 |
磁場の働きを利用して脳の血管を映し出す検査で、脳動脈瘤や太い血管の閉塞、狭窄などを見つけることができます。 |
シルバー脳ドック(対象年齢50歳以上)
認知症 + 脳疾患を早期に発見する検査
スタンダード脳ドックに加えてMMSEとVSRADで、認知症の可能性を調べます。
- 基本料金
- 27,500円(税込)
| MMSE(認知症スクリーニングテスト) | VSRAD(早期アルツハイマー型認知症診断支援システム) |
|---|---|
|
簡単な質問を11問答えます。この点数によって正常範囲/軽度認知症疑い/認知症の疑いに分類します。簡易テストなので、この検査で異常を指摘された場合は、専門医を受診し、さらに詳しい検査を受ける必要があります。 |
アルツハイマー病の時に萎縮する海馬をMRIで撮影し、海馬の萎縮を数値化します。個体差もあるため、必ずMMSEとあわせて認知症の判定を行います。 |
学会推奨脳ドック
脳関連検査を凝縮したコース
脳ドック学会推奨項目を全て含みます
- 基本料金
- 37,400円(税込)
検査項目
| 身体計測検査 | 身長・体重・BMI・体脂肪率・腹囲 | |
|---|---|---|
| 眼科検査 | 視力・眼底 | |
| 耳鼻科検査 | 聴力 | |
| 循環器検査 | 心電図・血圧・心拍数 | |
| 画像検査 | 頭部MRI・頭頸部MRA | |
| 頸動脈超音波 | ||
| 認知機能検査 | MMSE | |
| 尿検査 | 蛋白定性・糖定性・潜血・ウロビリノーゲン | |
| 血液検査 | 血液一般 | 白血球数・赤血球数・血色素量・ヘマトクリット・血小板数 |
| 肝機能 | 総蛋白・AST・ALT・γ-GTP | |
| 腎機能 | 尿素窒素・クレアチニン・eGFR | |
| 痛風 | 尿酸 | |
| 脂質 | 総コレステロール・HDLコレステロール・中性脂肪・ LDLコレステロール・nonHDLコレステロール |
|
| 糖代謝 | 空腹時血糖・ヘモグロビンA1c | |
| 診察 | 内科診察 | |
| 医療面接(問診) | ||
| 医師による結果説明(希望者後日) | ||
- 絶対禁止金属がある方(心臓ペースメーカー・植え込み型除細動器・脳室シャント・人工内耳・義眼・神経刺激装置・骨成長刺激装置・植え込み後3ヶ月以内のステント・インスリン注入ポンプ)
- 注意金属があって、非磁性体(磁石に反応しない)と確認されていない方
骨折後の固定金属・人工関節・脳動脈クリップ・腹部の手術後のクリップ・心臓人工弁・静脈フィルター・避妊リング・眼球内の金属異物(旋盤等金属加工の仕事、爆発等の事故)、インプラント、歯列矯正器具(非磁性体でも画像が乱れ、正確に撮影できないことがあります。) - 刺青、刺青による眉・アイライナーを入れている方
- 妊娠中、妊娠の可能性のある方
- 閉所恐怖症など狭い場所が苦手な方
- 検査中、30分仰向けで静止の姿勢がとれない方
詳しくはこちらを参照下さい。PDF>>
スケジュール
- 受付・着替え
受付時間/受付時間は、事前に郵送される案内にてご確認下さい。健康センター1階にて受付。検査着・スリッパをお渡しし、更衣室にて着替えをしていただきます。
- 各検査
検査専用フロアーにて各検査をお受けいただきます。MRIの予約時間になりましたらご案内します。
- 診察
診察室(個室)にて、医師の内科診察を行います。混雑の状況によっては他の検査と前後する場合もあります。
- 着替え
- 会計
混雑の状況により、一部スケジュールが変更になる場合があります。 終了は予約時間によって異なります。